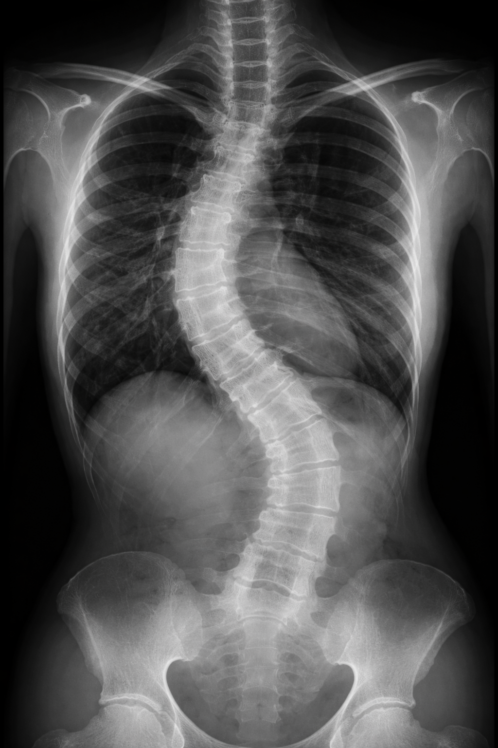
Scoliosis Care in Springfield, OH

Symptom treatment imageIf you're experiencing scoliosis in Springfield, OH, you're certainly not alone. We understand how living with scoliosis can influence your comfort, movement, and confidence—impacting everything from exercising at the Springfield YMCA to enjoying walks downtown. Our patients often share that they notice uneven shoulders, backaches, or fatigue when sitting at school or work for long periods. You might be feeling frustrated by pain, worried about the appearance of your posture, or anxious about long-term spinal health. At Harding Holistics, we frequently see patients with a range of scoliosis symptoms and believe strongly in listening to your concerns to create a supportive, individualized care plan. Our approach to scoliosis in Springfield, OH focuses on gentle spinal adjustments, exercise education, and ergonomic strategies to promote balance, function, and well-being. We are here to help you find comfort, build strength, and make the most of your life in Springfield, OH.

Why Choose Chiropractic for Scoliosis

While each individual responds differently, our patients often report practical benefits from chiropractic care as part of their scoliosis management plan.

  • Decreased Pain and Discomfort: Adjustments and exercises may reduce muscular aches, stiffness, and postural pain.
  • Enhanced Spinal Mobility: Many experience an improvement in movement and flexibility for daily tasks and favorite local activities.
  • Support for Postural Balance: Addressing imbalances and providing posture education helps with alignment and may slow curve progression.
  • Less Anxiety About Flare-Ups: Ongoing care often brings reassurance and confidence in managing scoliosis in the long term.
  • Better Participation in Life: When pain is lower and movement is easier, you can stay active in Springfield, OH and enjoy school, work, and hobbies.

Your Personalized Scoliosis Treatment Journey

At our practice in Springfield, OH, we guide you through a supportive scoliosis care journey designed for your long-term comfort and function.

  • Comprehensive Consultation: We start by discussing your medical history, scoliosis diagnosis, daily routines, and main symptoms affecting your day-to-day life.
  • Detailed Physical Examination: This includes spinal assessment, posture analysis, range of motion testing, and measurement of spinal curves.
  • Personalized Care Plan Discussion: We explain potential scoliosis progression and develop a plan involving chiropractic adjustments, strengthening and stretching exercises, and ergonomic guidance for school or work activities.
  • Gentle Treatment Sessions: Treatments are designed to reduce muscle tension, promote spinal flexibility, and address related pains—always considering your comfort with each adjustment.
  • Ongoing Guidance and Monitoring: We schedule regular reevaluations to monitor changes, encourage home activity, and offer continued advice on pain management and healthy movement in Springfield, OH.